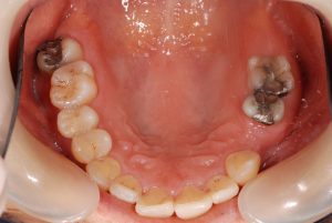
In the past, patients who had teeth extracted were left to chew with dentures. These were never comfortable or well fitting.
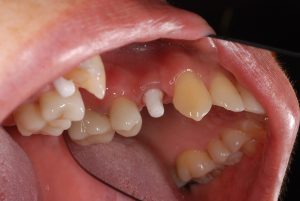
Dental implants have revolutionized tooth replacement and at Caring 4 Smiles in Epsom, we are putting teeth into gaps and making our patients Smile.
We do agree that dental implants are expensive, but we allow our patients to pay off their costs in installments and in doing so, reduce the financial impact of replacing teeth.
