Halitosis, Bad Breath, Dental Hygienist

Halitosis or Bad Breath can be embarrassing.
Our dental hygienist can help cure and prevent halitosis or bad breath.
“Son, have you brushed your teeth this morning?” is a common phrase in every household when children are young and getting to play is their only priority. Children need to be cajoled and coerced into undertaking this simple routine task every day. However, they see it a total waste of time unless visible signs can show them the benefits. Young adults are no different and they often do not give bad breath much of a thought.
It is every parent’s hope that their children have great teeth but brushing teeth is a task that must be well learnt and monitored through life. Brushing has to be learnt and the results checked.
At Caring 4 Smiles, we have seen that very few people have actually been shown “How to brush teeth” and so they go through the motions of brushing every morning, only to discover from their hygienist or dentist, …
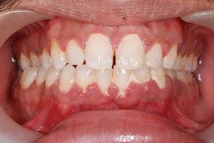
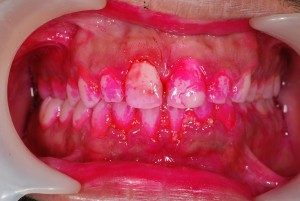
“Did you know you have gum disease ?” which comes as a real shock to the patient.
Yet, the signs of a deteriorating mouth are present and growing – going unnoticed. Friends and family being polite don’t mention to someone that they have “bad breath“.
Bad breath is the first sign that the technique of tooth brushing and routine care is not efficient and bacteria are collecting on the teeth, gums and tongue. These cause fermentation of the plaque and a very foul odor is generated. A mouth wash and chewing gum merely masks the initial odors and the real treatment must be done by the hygienist and dentist.
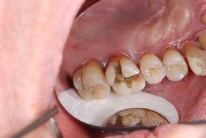
Cavities in teeth trap food and cause a higher level of bad breath. Hormonal problems, poor diet, eating garlic, ginger and other aromatic foods also increases the complexity of bad breath.
At Caring 4 Smiles, we constantly train our patients to brush effectively. We treat ‘bad breath’ with all the seriousness of a serious problem. Maintenance of the mouth is an ongoing plan so that gum disease does not get established.
To know more about or to treat bad breath, please call Caring 4 Smiles on 09-631 5416or email [email protected]
